Afwijkende mondgewoonten (OMFT)
Oro-myofunctionele therapie
Een afwijkend slikpatroon, zuigen op bijvoorbeeld de duim of een speen, of ademen door de mond kunnen de mondspieren uit evenwicht brengen. De vorm van de kaken en de stand van de tanden kunnen zich aan dit verkeerde evenwicht aanpassen en scheef groeien. Een OMFT-specialist herstelt dit afwijkende mondgedrag met oro-myofunctionele therapie (OMFT).
Wat is OMFT?
Oro-myofunctionele therapie (OMFT) is een oefentherapie.
Deze therapie is erop gericht om alle mondspieren weer in evenwicht te brengen door gerichte oefeningen te geven en foutieve gewoonten af te leren. De therapie pakt daarmee de oorzaak aan van één of meerdere problemen en niet alleen de gevolgen van het verkeerde evenwicht.
Andere behandelingen, zoals logopedische articulatietraining, orthodontie of een chirurgische kaakcorrectie, kunnen daardoor op tienerleeftijd een blijvend resultaat opleveren. Oro-myofunctionele therapie richt zich op kinderen vanaf vijf jaar én volwassenen. Om de gevolgen van afwijkend mondgedrag te beperken, is het van belang de behandeling in een zo vroeg mogelijk stadium te starten.
Wanneer OMFT?
OMFT wordt ingezet wanneer er sprake is van afwijkende mondgewoonten, zoals mondademen, duimen, vingerzuigen, verkeerd slikken.
Dit heeft vaak een verkeerde uitspraak (slissen/ lispelen) tot gevolg, maar vrijwel altijd een afwijkende vorm van het gebit en/of de kaken; scheve tanden, overbeet, open beet, kruisbeet.
OMFT helpt om de afwijkende mondgewoonten af te leren en de spieren rondom het gebit weer in balans te brengen, zodat het gebit kan herstellen. Door het inzetten van OMFT kan de duur van zowel de orthodontische behandeling als ook de articulatietherapie worden verkort.
Ook voor andere therapieën, zoals een chirurgische kaakcorrectie geldt, dat door OMFT in te zetten de kans op terugval wordt verkleind.
Therapie is zinvol als er sprake is van één of meer van de volgende zaken:
- Hoofdzakelijk ademen door de mond in plaats van door de neus;
- Een verkeerde tongpositie in rust (als de tong naar buiten hangt of laag in de mondbodem ligt);
- Duim-, vinger-, of speenzuigen waar niet of zeer moeilijk van af te komen is;
- Bijtgewoonten waar niet of zeer moeilijk van af te komen is;
- Een tekort aan lipspanning/lipkracht;
- Een smal of hoog gehemelte (veroorzaakt door een lage tongligging);
- Een verkeerde stand van kiezen en/of kaken, veroorzaakt door afwijkend mondgedrag;
- Spraakmoeilijkheden zoals slissen of lispelen;
- Het (gedeeltelijk) terugkeren van de afwijking nadat er een orthodontische behandeling heeft plaatsgevonden (relaps);
- Kaakgewrichtsklachten;
- Moeilijkheden met slikken of eten;
- Regelmatig verslikken;
- Problemen bij het op zijn plaats blijven zitten van een goed vervaardigde gebitsprothese.
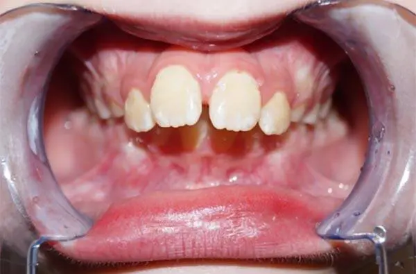
VOOR:
Foto’s van iemand die tijdens het slikken zijn tong tegen de tanden perst.
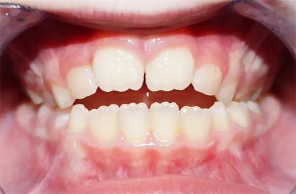
NA:
Foto’s van dezelfde persoon na OMFT behandeling.
VOOR & NA:
Links: Foto van iemand die duimt en tijdens het slikken de tong tussen de tanden perst.
Rechts: Foto van dezelfde persoon na OMFT behandeling.

Wat doet een logopedist?
De OMFT-specialist kan afwijkend mondgedrag afleren, de tongpositie corrigeren en een correcte slik en articulatie aanleren. Het doel van de behandeling is het in evenwicht brengen van alle mondspieren.
Voor aanvang van de oefentherapie zal er een intakegesprek en een uitgebreid onderzoek plaatsvinden. Tijdens het onderzoek worden er foto’s van de houding en het gebit gemaakt. Tevens worden er verschillende spiermetingen in het mondgebied gedaan.
Op deze wijze wordt in kaart gebracht welke spieren over- of onderontwikkeld zijn. Uit het onderzoek blijkt of oefentherapie volgens de principes van OMFT de geschikte begeleidingsvorm is. De logopedist adviseert over de behandeling en zal deze afstemmen op de cliënt.
Vervolgens start de begeleiding, die tussen de tien tot twintig sessies (25 minuten per week) in beslag zal nemen. Meestal wordt tijdens de begeleiding een ‘trainer’ ingezet (dit is een soort bitje). Deze ondersteunt de functieverandering van de mondspieren. Thuis dient er dagelijks geoefend te worden.








